Porcelain Veneers: SM
Description
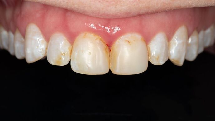
This patient’s journey to a confident smile began with unique challenges: white spots and discoloration from previous bonding. Patient desired a very conservative approach, 6 porcelain veneers were permanently bonded, which transformed her smile.
Procedures : porcelain veneers on 6 front teeth
Testimonial : “I am extremely happy with my veneers!”











