Veneers in Hartford, CT
Your Smile
Reimagined by Specialists
- Board-certified specialist-level care
- Natural-looking results
- Award-winning practice
- Financing available
Dr. Li of Advanced Cosmetic and Implant Dentistry

Dr. Li of Advanced Cosmetic and Implant Dentistry

Why Choose Us for Porcelain Veneers?
We have board-certified prosthodontists delivering specialist-level cosmetic results that general dentistry simply can't match.

Prosthodontist-Led
Care
Most cosmetic dentists offer veneers. Few have the specialty training to master them. Dr. Bidra and Dr. Li are board-certified prosthodontists, and are among the very few in Connecticut and the only ones in Glastonbury. They have advanced expertise in cosmetic and reconstructive dentistry that general dentistry simply doesn't reach.
Award-Winning
Excellence
Dr. Bidra has earned the Distinguished Clinician Award and the 2023 Educator of the Year Award from the American College of Prosthodontists. He holds a U.S. patent and trains dentists nationwide. Patients who want excepational veneers results travel from across the continental U.S. and Puerto Rico to work with our dentist in Hartford, CT.
Start-to-Finish
Expertise
The same prosthodontist who plans your veneers designs them, places them, and remains your resource for the life of your results. That kind of continuity isn't standard. At this practice, it's the only way we work. When you choose our practice, you can expect that every detail of your treatment has been performed by leaders in the field.
Our Veneers Can Elevate Your Smile


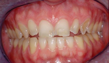
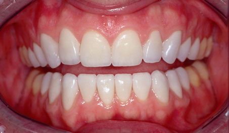
You can see the dramatic results for yourself in this before and after photo set featuring one of our Hartford and Glastonbury patients. In this case, our porcelain veneers reshaped some of the front teeth to create a uniform top row. The treatment also covered some persistent stains and discoloration.
Get a Higher Level of Enhancement
Request a Veneers Consultation
A beautiful smile isn't vanity. It's confidence, presence, and how you show up in the world every single day. Choosing a board-certified prosthodontist for your veneers means choosing results that look natural, last longer, and reflect the actual you instead of a one-size-fits-all cosmetic fix.
Dr. Bidra and Dr. Li are ready to understand your goals, assess your candidacy, and build a treatment plan designed around your anatomy, your preferences, and your life. Schedule your consultation at our Glastonbury office serving Greater Hartford today and take the first real step toward the smile you've been thinking about.

Patients Love Their Results
“My teeth look and feel better than they ever have. I will recommend her to anyone needing restorative work.”
—Lynne, 5-Star Review
The Cost of Dental Veneers
Budgeting for a Beautiful Smile
Patients have many questions about the price of veneers. The team at our Hartford and Glastonbury dental office takes time to discuss the cost of treatment, payment methods, financing options, and affordable alternatives.
“Exceptional.”
“Dr Bidra and his team demonstrated exceptional skill, care and attention to detail. Their warm and welcoming approach made me feel at ease throughout the process.”
—Poonam, 5-Star Review

Conceal Cosmetic Concerns With Veneers
Speak with our Experienced Dentists
The quality and longevity of veneers can largely depend on the dentist, which is why an expert like Dr. Avinash S. Bidra and Dr. Xiao Chun Li can provide the best results. Dr. Bidra and Dr Li are board-certified prosthodontists, specialists with advanced training in cosmetic and reconstructive dentistry. He can help you achieve the bright, dazzling smile you’ve always wanted with porcelain veneers!
To schedule a consultation and explore the possibility of upgrading your smile with porcelain veneers or other effective cosmetic treatments, call our dentist in Hartford, CT

Our Accomplishments Speak Volumes Achieve the Best Results with Dr. Bidra and Dr Li
Dr. Bidra and Dr Li are one of the few board-certified prosthodontists in Connecticut and the only ones in Glastonbury. They draw patients from across the country and Puerto Rico. Dr. Bidra has received numerous awards for excellent care and his contributions to the field, including:
Distinguished Clinician Award by the American College of Prosthodontists
Educator of the Year Award by the American College of Prosthodontists
All on 4 Center of Excellence Award by Nobel Biocare
Connecticut Magazine Top Dentist
Hartford Magazine Top Dentist
Service Award as Chairman of the 50th Year Scientific Session of the American College of Prosthodontists
United States patent award for a device used in the popular All-on-4 dental implant treatment
Numerous academic/scholarly awards from prosthodontic scientific organizations and scientific journals
"Every time I come in, I always have such a fun time."
Candidates for Porcelain Veneers
Patients must meet certain criteria to get veneers. We can assess your candidacy during a consultation at our Glastonbury dental practice.
Aesthetically Flawed Teeth
Porcelain veneers are designed for people with cosmetic dental concerns. Patients suffering from serious fractures and dental health issues instead require restorative treatment.Sufficient Enamel in Place
Since enamel needs to be removed for the dental veneer, patients need to have healthy teeth with enough enamel in place. This ensures the treatment succeeds without leaving your teeth overly sensitive or vulnerable to damage.Realistic Expectations About Treatment
As with all dental treatments, it's important for patients to have realistic expectations about the risks and benefits of the procedure, proper aftercare, and the cost of dental veneers.
We Can Improve Your Smile
Request a Consultation Today
Do you feel self-conscious about smiling in front of others due to small imperfections? If so, you may be a good candidate for our porcelain veneers. We can customize the treatment to match your existing teeth so your new veneers blend in with your natural smile. Our dentists can use this simple solution to give your smile beautiful symmetry that provides a thrilling boost in confidence!
Message our staff or request a consultation with our dentists by calling our practice, with offices in Hartford and Glastonbury.

The Porcelain Veneers Procedure A Timeline for Treatment
Porcelain veneers can do the work of multiple cosmetic dentistry procedures.
Book an Appointment with Dr. Bidra
We want to provide you with as much information as possible about veneers and other treatments so you can make an informed decision. During your private consultation with Dr. Bidra, he can take note of your goals and assess your oral health to determine if veneers or another cosmetic dentistry solution is the best way to upgrade your smile. Our Glastonbury office serves Greater Hartford.

Want a Complete Smile Makeover? Combining Veneers With Other Treatments
Some patients use veneers in combination with other treatments to achieve the dazzling smile they’ve always wanted. In addition to restorative work, we also offer these cosmetic procedures in tandem with veneers:
Teeth Whitening
If your teeth have become stained over time, porcelain veneers may stand out from other teeth. Teeth whitening can remove these issues to provide a beautiful complement to your porcelain veneers.
Gum Lift
If you have excess gum tissue that makes your teeth look worn or uneven, we can gently remove small amounts of this tissue to provide an attractive frame for your teeth. This will set the stage for veneers to give your smile symmetry and consistency.

























