
Cosmetic Dentistry
What Is Cosmetic Dentistry?
/
Cosmetic dentistry focuses on the aesthetics of your smile and includes treatments that address the appearance of your teeth and gums. Patients often combine multiple cosmetic procedures to achieve a smile makeover.
Which Problems Can Cosmetic Dentistry Address?
Seeing a cosmetic dentist can address many dental insecurities. These are common problems our patients come to our dentist in Hartford, CT, with:
- Chipped and cracked teeth
- Crooked teeth
- Missing teeth
- Decaying teeth
- Discolored teeth
- Gaps between teeth
- Damaged and worn teeth
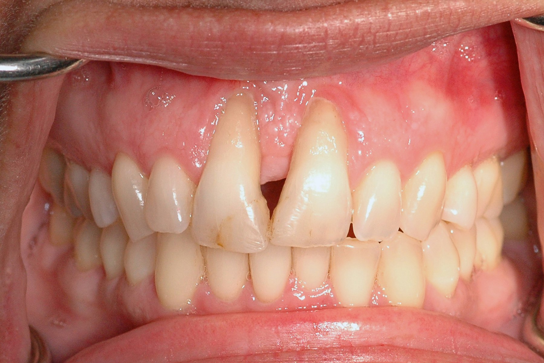
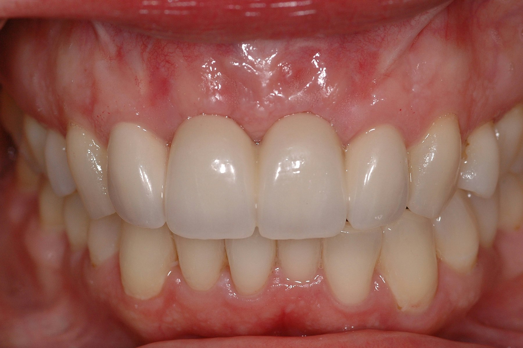
Stunning Patient Transformations
Dental insecurities can cause a significant dip in your self-esteem. Dr. Avinash Bidra can help you achieve teeth worth smiling about.
Learn How We Can Refine Your Smile Schedule a Cosmetic Dentistry Exam
Discover how cosmetic dental work can transform your smile by visiting our practice for a dental consultation. This exam helps us identify the imperfections in your smile and develop a customized plan to achieve your desired results.
During the consultation, you should inform the dentist of your goals, explain what's bothering you about your smile, and share any reference photos you have. From here, moving forward with your smile makeover is a mutual decision that accounts for your needs, budget, and best interests.
Don't delay a healthier smile. Request a consultation with our dentists by contacting us online or calling:

5-Star Reviews From Glastonbury, CT, Patients "Thank you so much for bringing my smile back."
An Outstanding office and staff who are caring and on top of everything. Dr Bidra is warm, talented and has a wonderful approach to sharing information for not only comprehension if procedures,but for responding to your questions with ease making you feel comfortable and secure in his hands.
View on GoogleI am so grateful to have found Dr. Bidra. When you search for perfectionism, you will find that you have come to the right place, Dr. Bidra is the best! He and his team will be there for you every step of the way. I can't say enough about this office and what a team he has. Thank you so much for bringing my smile back.
View on GoogleOur Featured Cosmetic Dentistry Procedures
Our dentist in Glastonbury, CT, performs a variety of dentistry procedures that help patients get the smile of their dreams.
Porcelain Veneers
Our veneers consist of a thin shell of porcelain fitted over the front of the natural tooth. Veneers help disguise any chips, cracks, or other cosmetic flaws on your tooth. With this method, only a tiny fraction of your enamel is removed in the process. Veneers are semi-transparent, just like your natural teeth, to give you a natural-looking smile enhancement.
Dental Bonding
Dental bonding is a great way to correct minor imperfections in your smile, such as chips, cracks, discoloration, small gaps, and worn surfaces. This process can be completed in a single appointment and is an excellent option for patients who don't want to undergo more extensive treatment, like veneers. Dental bonding is also a more affordable way for patients to check out the benefits of veneers without having to invest right away.
Teeth Whitening
Teeth whitening is one of the simplest and most affordable aesthetic dentistry procedures. Professional teeth whitening is safe, comfortable, and customized to your needs. Unlike over-the-counter teeth whitening products, professional teeth whitening can whiten your teeth by six to eight shades in a single session.
Smile Makeovers Combining Procedures for a Complete Transformation
Patients with multiple cosmetic dentistry concerns can combine treatment options for a full smile makeover. For example, a patient may choose to both brighten their smile with teeth whitening and hide a chipped tooth with a porcelain veneer. Our dentist can help you formulate a plan according to your goals.
A Smile Makeover Can Transform Your Look
"Wouldn't hesitate to recommend anyone!" More 5-Star Reviews From Glastonbury, CT, Patients
I couldn’t possibly thank everyone here enough! Went above and beyond not only with the dental work done but accommodating me on short notice. Extremely friendly staff which creates a wonderful environment. Wouldn’t hesitate to recommend to anyone!
View on GoogleUndoubtedly the best dental-related experience i’ve ever had. From the first day I visited this office I’ve felt as though I’ve been cared for and treated like family. The whole staff is incredibly friendly. Dr. Bidra did an absolute amazing job restoring my smile and confidence. Well worth the visits and time for a perfect smile/restoration. Couldn’t be happier!
View on Google
Experience the Difference
At Our Glastonbury, CT, Dental Practice
Award-Winning Care
Dr. Bidra has won numerous awards in his career, including the Distinguished Clinician Award by the American College of Prosthodontists. He also received the Top Dentist Award from Connecticut Magazine. These are just some of the distinctions that uniquely position us to provide unparalleled dental services to patients just like you.
Advanced Technology
Our office is outfitted with state-of-the-art technology for safe, effective dental care that helps save you time and delivers exceptional results. With CEREC® technology that lets us craft same-day restorations and digital X-rays for high-resolution imagery and minimized radiation, we have the resources to give you the best that modern dentistry has to offer.
Luxurious Facility
Your comfort is always our first concern, which is why we maintain a welcoming environment for patients of all ages. From our friendly staff and beautiful reception area to blankets, washcloths, and other spa-like amenities, our practice optimizes the patient experience.
We Offer Sedation
Dentistry Made Comfortable
If fear of visiting the dentist is holding you back from achieving the smile you’ve always wanted, our practice can help ease your anxiety with sedation dentistry. We have options available that can help ensure your comfort throughout your procedure.
If you are wondering if sedation is right for you, contact our Glastonbury, CT, office.
A Closer Look at the Treatment Process
Treatment at our practice in Glastonbury, CT, combines science and artistry to achieve results you’ll be ecstatic about. Here’s how you and your dentist will work together:
Depending on the procedures in your cosmetic dental plan, you may be able to preview results or even receive multiple treatments in one visit.
We Accept Flexible Financing For Cosmetic Dentistry and More
The cost of aesthetic dentistry procedures will vary from patient to patient because our dentist provides fully customized treatments tailored to individual needs and goals. Dental insurance does not cover cosmetic dentistry procedures, but our office accepts CareCredit®, Proceed Finance, and Cherry dental financing to help break costs into affordable monthly payments.
High Praise for Our Dental Practice "Never looking back at another dentist’s office!"
This office treated me with so much kindness, compassion, while offering me with the absolute best services. Never looking back at another dentist’s office!
View on GoogleI highly recommend Dr. Bidra and Advanced Cosmetic and Implant Dentistry. Beautiful, friendly office and Dr. Bidra is so knowledgeable and skilled at what he does. You won’t regret choosing this office for your dental needs!
View on Google











