Dramatically Brighten Your Smile in One Visit with Teeth Whitening
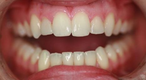
You brush and floss every day, but your smile is still dulled by stains and discoloration that you can't seem to get rid of with at-home care.
If yellowish teeth are a daily source of frustration for you, professional teeth whitening at our Glastonbury, CT, dental office may offer the solution.
We only use proven whitening agents to produce dazzling results...
Professional Whitening Is Faster, Safer, & More Advanced

Our Glastonbury Office Uses KOR, GLO and Zoom Whitening
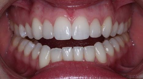
Widely recognized as the premier teeth whitening systems, KOR, GLO, and Philips Zoom are ideal for patients who want dramatically whiter teeth with a minimal investment of time. This gentle, highly effective procedure usually requires about an hour and a half from beginning to end and produces immediate results, with teeth becoming six to eight shades whiter on average after a single application. This means you will leave our office with a brilliant new smile and none of the inconvenience associated with at-home tray-based bleaching systems, whitening toothpaste, and other whitening products. Please call our office to know if whitening is the best solution for improving your smile!
"What a fabulous natural looking result. I didn't think my teeth could ever look this good."
The Zoom!® Teeth Whitening Procedure
Zoom!® teeth whitening at our Hartford, Connecticut-area office is a dentistry treatment that is relaxing and pain-free, perfectly complementing our spa-like atmosphere. When you arrive for your teeth whitening procedure, we will begin by applying the patented Zoom!® whitening gel, which is then activated by exposure to a gentle blue light for 20 minutes. This process is repeated twice, for a total treatment time of one hour and a half. At the end of the tooth whitening procedure, your teeth will be amazingly whiter, with results that – with proper care and routine professional cleanings – will last for years.
Since light and a mild hydrogen peroxide gel are the only two active ingredients in the Zoom!® teeth whitening system, our dental patients throughout the Hartford, Connecticut area can rest easy, knowing that they are not exposing their teeth or gums to harsh chemicals. Also, your dentist can adjust the amount of hydrogen peroxide in your tooth whitening treatment to avoid tooth sensitivity. In addition to the instant results provided by the in-office method, Zoom!® products are available for touch-up use at home to whiten your smile as needed.
If you would like to learn more about the revolutionary Zoom!® teeth whitening technology, contact our Hartford, Connecticut-area dentistry office today.

Our Gentle, Skilled and Trusted Dentists
Dr. Avinash S. Bidra is a board-certified prosthodontist, which is a dental specialist with advanced training in implants, cosmetic and reconstructive dentistry. He also has a sub-specialty in Maxillofacial Prosthetics. He completed his dental and specialty training in India, Florida, Connecticut, and Texas.
Dr. Bidra is one of the few board-certified prosthodontists in Connecticut and the only one in Glastonbury. He has extensive surgical experience with dental implants, having placed and restored thousands of implants. His expertise draws patients from other states and Puerto Rico.
- Dr. Bidra is the recipient of numerous awards, including:
- Distinguished Clinician Award by the American College of Prosthodontists
- Connecticut Magazine Top Dentist
- Hartford Magazine Top Dentist
- Service Award as Chairman of the 50th year Scientific Session of the American College of Prosthodontists
- United States Patent Award for Invention of a Device used in the popular All-on-4 Dental Implant Treatment
- Numerous academic/scholarly awards from prosthodontic scientific organizations and scientific journals
If you live in the Glastonbury, near Hartford, Connecticut area and want a spa-like experience that puts your needs and your health first, contact our dental office online. You can also schedule a consultation by phone at:
(860) 724-4906











