Porcelain Veneers: CH
Description
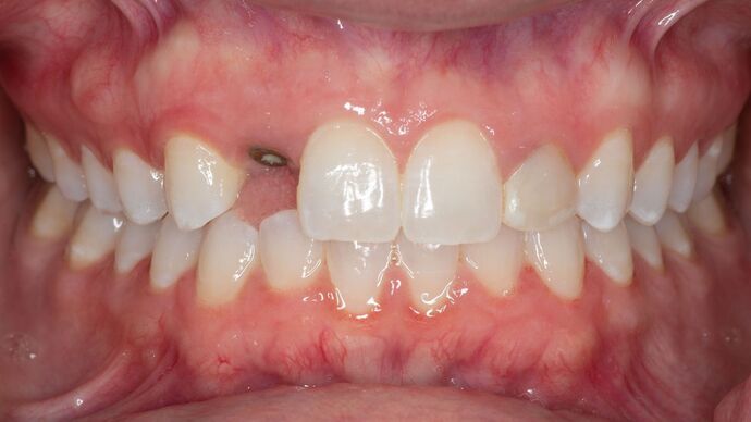
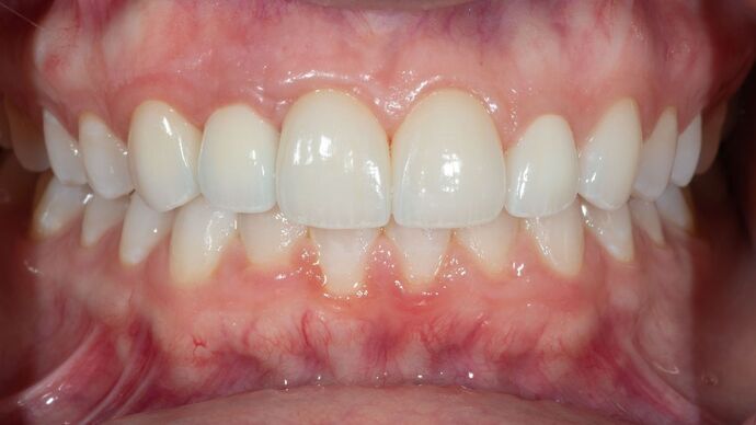
This young nurse had a missing front tooth and a misshaped lateral incisor from birth. When she was ready to enhance her smile, she opted for premium quality ceramic restorations. She got an implant and bone grafting done by Dr Bidra and then beautiful porcelain veneer restorations from Dr Li, all done in our office. The result? A harmonious smile that maintains the natural shape her teeth and her individual character.
Procedures : veneers, implant, implant crown.
Testimonial : "Dr Bidra and Dr Li, your commitment to perfectionism and esthetics has changed my life! I smile with so much more confidence now, Thank you"











