Porcelain Veneers: BO
Description
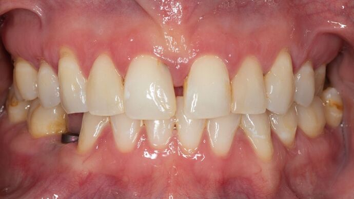
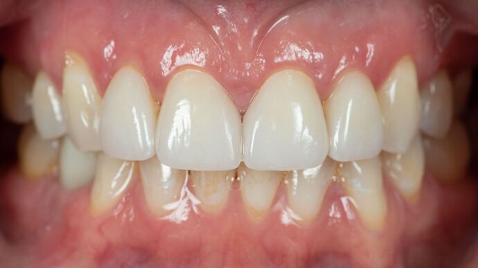
Description: This young professional. was bothered by the gap between her teeth and had attempted bondings in the past by different dentists, but the results were not satisfactory to her. She sought care at our office and she was treated for 4 porcelain veneers.
Procedures : Porcelain veneers
Testimonial : “I'm really pleased with the natural look of the veneers – they match my original teeth so well.”









