Porcelain Veneers: GJ
Description
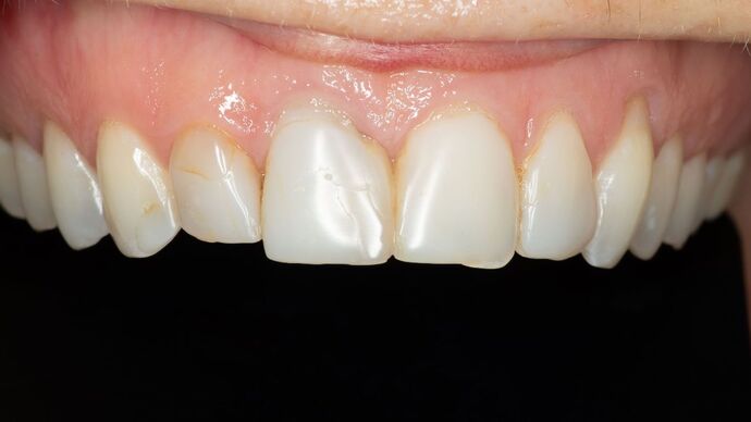
Description: This lovely lady had old bonding on many of her front teeth that was leaking and failing, and she was in search of a more esthetic, durable, long-term solution.She sought our office for the string reputation in veneers and advanced cosmetic dentistry.
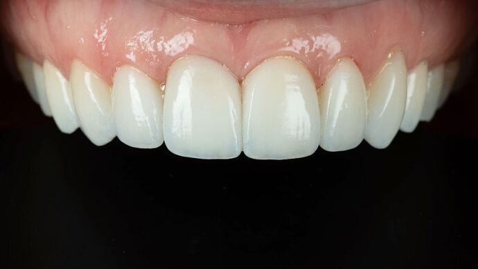
Procedures : veneers
Testimonial : “I am so glad I did this veneer treatment. The veneers are a gift for myself. It's an investment in my confidence and well-being.”















