Full Mouth Rehabilitation: Samir
Description
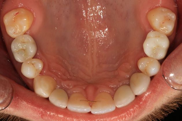
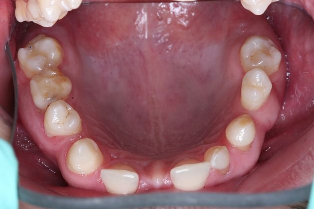
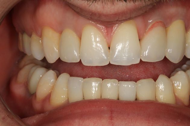
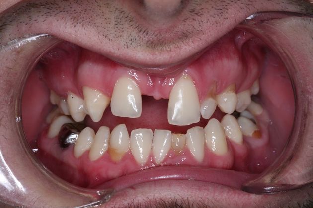
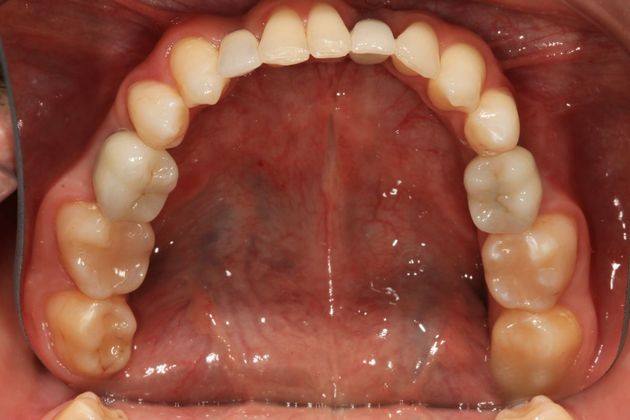
Full mouth rehabilitation. This 20 year old patient had emigrated from Bosnia only a few years earlier with his mother and two sisters after his father had perished in the Bosnian/Serbian conflict. He had severe hereditary dental dysplasia, with multiple retained baby teeth where permanent teeth never formed. He had a total of nine missing teeth, and the teeth that were present were not in their correct positions, leading to a poor bite relationship and multiple large gaps throughout his mouth. He was embarrassed to smile and wanted to know what could be done. His was a very complex case requiring Smile design and; the services of an oral surgeon to take out the baby teeth and strategically place implants at different times of his treatment, an orthodontist to level, straighten and create the proper size spaces for the placement of nine implants, gum sculpting, whitening, and the placement of fillings and crowns on natural teeth, and crowns on the nine implants. It took some time, but he got a great result and the resulting confidence has helped him go to college, get a better job and have a social life! Procedures: Smile design, oral surgery and implant placement, orthodontics, gum lift, whitening, fillings and crowns. TESTIMONIAL:" Dr. Balloch is a very skilled, compassionate and empathetic dentist who develops a personal relationship with his patients. He is (by far) the best dentist that I have experienced in my 85 years. His dental and office staff are equally friendly and professional. Dr.Balloch definitely exceeded my expectations. I highly recommend!"





