Full Mouth Rehabilitation: Marianne
Description
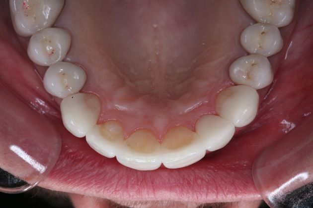
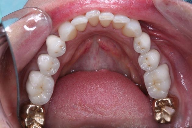
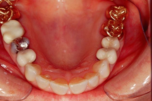
Procedures; TMJ CAT scan, TMJ deprogramming, whitening, sedation dentistry, reconstruction of all the back and upper front teeth with porcelain crowns, bite guard therapy. This foster care provider wanted to be free of the pain in her jaw joints. She had a lifelong history of grinding, many of her back teeth were breaking down and her bite was off. Her treatment was performed in sections to spread out the cost. She and her husband were so pleased with the result!






