All-on-4/ Full Mouth Dental Implants / Teeth in a Day: Case 8-CG- Upper and lower implant bridges
Description
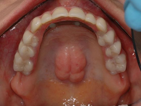
This fine lady was extremely unhappy with her partials and the bony bump on her palate prevented her from wearing anything that needed to be inserted and removed from her mouth. Removing this bony bump from the palate is a very invasive procedure so that was not an option. She was trying to hold on to the very last tooth to avoid wearing dentures.
Procedures : extractions, full mouth implants, All on 4 , Teeth in a day, full mouth reconstruction with implant bridges.
Testimonial : "I was holding on to my failing teeth for a long time and spent so much on root canals, crowns and fillings and got cavities over and over again. That is when I researched and learnt about dental implants. Dr. Bidra is the best and my new teeth are extremely comfortable, gives me the confidence to smile, and permanent"






