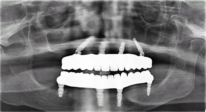
All-on-4/ Full Mouth Dental Implants / Teeth in a Day: Case 7-BB- Upper and lower All-on-4 bridges
Description
This English professor unfortunately was born with soft teeth and the side effects of her medications caused severe dry mouth and her teeth started failing quickly. She was advised by her cardiologist to get mouth back to health before he prescribed any cardiac procedures. The patient did her due diligence and searched the internet and found her prosthodontist Dr. Bidra.
Procedures : extractions, implants, All on 4 , Teeth in a day, no bone grafting and full mouth reconstruction with monolithic zirconia bridges.
Testimonial : "I knew for years my teeth were failing but once my cardiologist recommended that I get my mouth fixed is when I became very serious. I searched on the internet extensively for the best dentist who could help me and I came across Dr. Bidra. His demeanor, thoroughness, gentleness and skills is unparalleled and I was grateful for how efficiently my treatment was skillfully executed and I not only have a healthy mouth, but a lovely smile and perfect bite”






