All-on-4/ Full Mouth Dental Implants / Teeth in a Day: Case 18- Upper crowns and Lower All-on-4 Bridge
Description
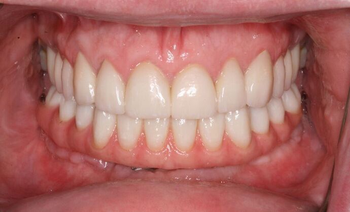
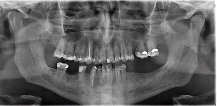
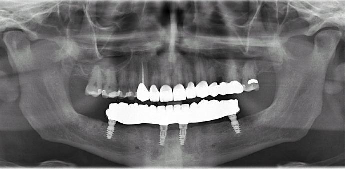
This patient, a mental health counselor was frustrated that despite taking care of his teeth all his life, he ended up having several cavities that made him lose several of his lower teeth. His cavities in his upper natural teeth was manageable through crowns and his remaining lower teeth were extracted and new implants and teeth were installed in one day without the need for any bone grafting.
Procedures : extractions, implants, All on 4 , Teeth in a day, no bone grafting and full mouth reconstruction with monolithic zirconia bridges.
Testimonial : "I am extremely grateful for Dr Bidra for bringing my confidence back in dentistry and for bringing my own self confidence back through my new smile”








