Dental Bonding: KY
Description
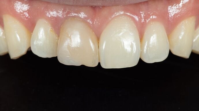
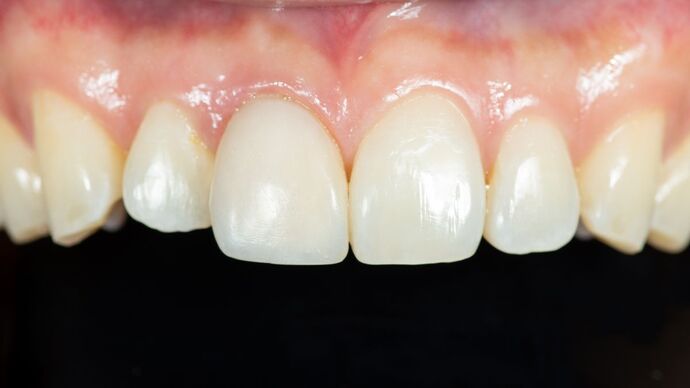
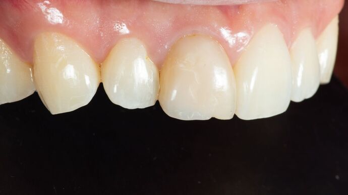
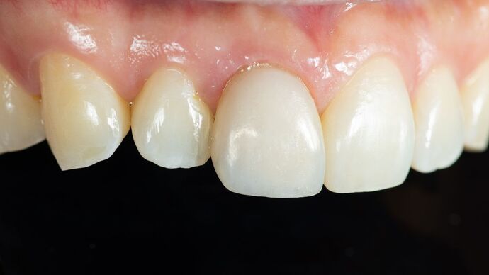
At the age of 9, he faced the challenge of a broken front tooth. As he was growing older, the mismatched color between the old filling and his natural tooth made him self-conscious. Kevin's smile was transformed with a custom shade analysis, then by creating a layered composite veneer that restored his confidence to smile brightly again.
Procedures : composite veneer (bonding).
Testimonial : “I'm absolutely thrilled with the new bonding I got! – it's like a total upgrade! Dr. Li did an amazing job making my teeth look flawless. The process was quick, painless, and the results exceeded my expectations. Thank you for all the skills and attention to details!"









