Dental Bonding: ED
Description
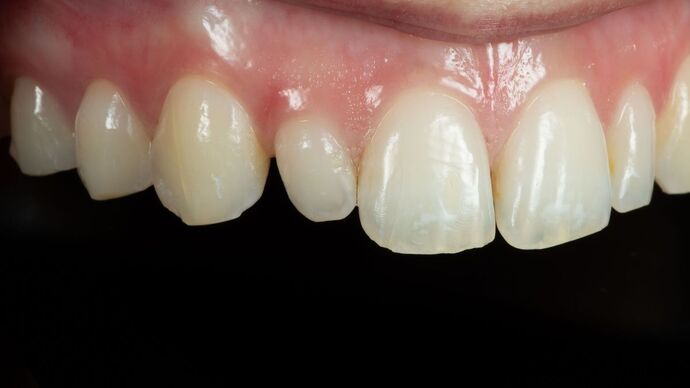
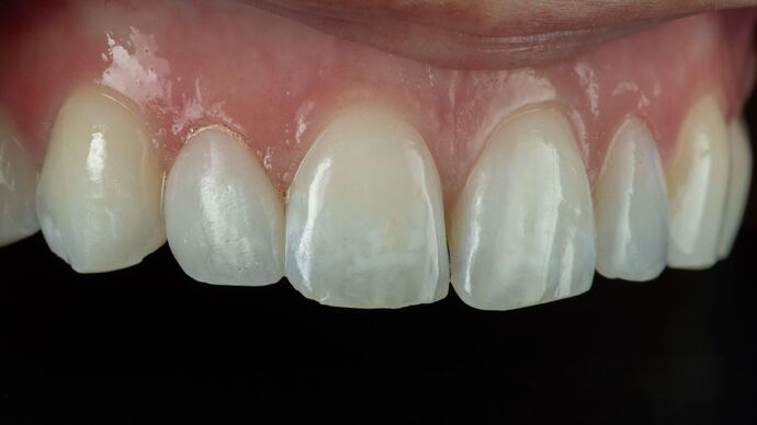
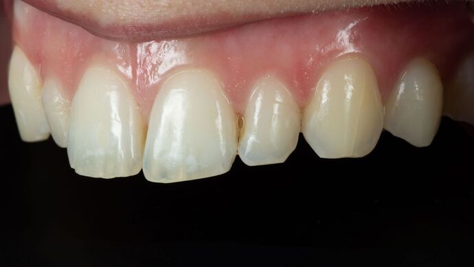
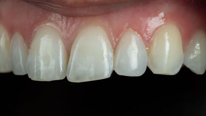
This young talented actress was conscious of her smile especially due to her lateral incisors, which she felt were too small. Recognizing the importance of a captivating smile in her profession, she sought a minimally invasive and conservative solution to enhance her teeth's shape and length. Additive custom layered composite resin was used to enhance the form of her teeth while preserving all of her natural tooth structures and retaining the unique variations of her teeth.
Procedures : composite veneers (bonding).
Testimonial : “My treatment experience was absolutely amazing. Everyone here are so incredibly kind here more than any other place I’ve ever been! I love how the teeth look now and it was an easy process"

















