Failed All on 4 Revision, Cosmetic Veneers & Post-Op Implant Protocol Professional Newsletter
Dear Colleagues,
We hope this message finds you safe, healthy and prosperous! We are excited to share this newsletter with you about some information our office and a few recent cases and a few clinical pearls to help you in your practice.
Our office is staffed by 2 Board Certified Prosthodontists—Dr. Avinash Bidra and Dr. Xiao Chun Li who are committed to excellence and offer only the highest quality of dental treatment. Dr. Bidra also serves as Director of the Prosthodontics Residency Program at UConn Dental School in Farmington, CT. (Go Huskies! 17 times NCAA champions!) Our office is located right in the center of Glastonbury and we serve patients who travel from various parts of Connecticut and across the country.
As specialists, we are not only committed to helping patients with advanced dental needs, but also committed to helping other dentists who need help serving their own patients. Whether you are looking to just get some guidance on difficult cases that you want to complete on your own, or stuck halfway or need help referring patients with complex situations such as occlusal plane issues, vertical dimension challenges, multiple failing teeth, restorative space issues, or bone grafting failures or implant misangulation or implant failures, we are here to help!
As an educator for 15 years, Dr. Bidra loves to teach!
We will offer complimentary consultation for your patients and refer them back to you for their maintenance after treatment is complete. We are out of network with all dental insurances but will offer your patients a very fair and reasonable price for their treatment. Our office is certified for IV sedation and we will provide a safe and comfortable “one stop” experience for their dental treatment. Please check out the cases of the month and please visit our website at for additional such cases. Thank you for your time and look forward to working with you!

Dr. Avinash Bidra, Owner
Board Certified Oral and Maxillofacial Prosthodontist
Practice focus: All on 4, Complex implant surgeries, bone grafts and advanced reconstructions

Dr. Xiao Chun Li
Board Certified Prosthodontist
Practice focus: Veneers, Bonding, Difficult shade match cases, Advanced cosmetics, VDO alterations, Full mouth rehabilitations
All on 4 (Full Arch Implant) Case of the Month!
This is an unfortunate case of fixing a failed All on 4 treatment done incorrectly in a patient. The patient had a major history of bruxism all his life and had been treated with a maxillary and mandibular All on 4 with poor distribution of implants. Within 1.5 years of treatment, the patient experienced symptoms of bridge loosening and was referred to Dr. Bidra by the patient’s wife. Upon removal of the maxillary bridge, the zirconia bridge itself was intact, but there were 3 broken screws and a debonded cylinder. Upon closer examination, there was fracture of multiple implants. Eventually, all except one of the existing implants had to be removed, and the patient was treated with additional implants for proper support utilizing 3 additional zygoma implants and 2 pterygoid implants. Due to the patient’s complex situation and complex implant angulations, additional support was provided using a metal bar to support the new zirconia prosthesis.
This case underscores the importance of proper treatment planning for All on 4 with an understanding of biomechanics and prosthodontic principles in the management of a severe bruxer. Not all patients can be managed by just 4 implants for full arch fixed prosthesis.
Cosmetic Dentistry Case of the Month!
This patient was referred to Dr. Li for cosmetic concerns, including minor misalignment, gingival zenith discrepancies, and mild anterior attrition, with a preference to avoid orthodontics. Minimally invasive treatment was prioritized to preserve enamel for the strength and longevity of both the restorations and natural tooth structures. Lithium disilicate restorations with veneering were utilized to enhance function and aesthetics following an esthetic gingivectomy, achieving natural-looking results and excellent shade matching. The treatment was completed within 2 months.
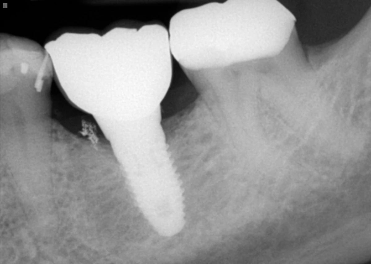
Clinical Pearl of the Month!
Take an immediate post-op x-ray and schedule a 2 week follow-up for your cemented implant crowns.
Residual cement is a frustrating problem in implant dentistry. When screw-retention is not possible, cement retained crowns are an excellent choice as they offer simplicity and a cost effective solution. In the previous newsletters we showed you techniques of using copy abutment and retrieval matrix to mitigate these problems. In this newsletter, we share a very simple and powerful clinical pearl to reduce the risk of failure to detect residual cement.
Clinical studies have shown that immediate post-operative peri-apical or vertical bitewing radiographs are effective in ruling out residual cement in at least 50% of the crown surfaces (mesial and distal). Of course any excess cement at buccal and lingual surfaces can only be detected clinically and best to prevent them from happening. Taking an immediate post-operative radiograph can also aid in defending against accusation of any negligence and aid in medical-legal record keeping.
A second important and simple pearl is to schedule patients for a 2 or 3-week quick follow-up to examine soft tissue response clinically and to detect any clinical signs of residual cement (hopefully none!) Clinical studies have shown that most residual cement issues are identified within 3 weeks. It would make sense for you the treating clinician to detect this issue rather than the patient disappearing away on you or another dentist taking an x-ray and detecting any residual cement. Below is an example of a patient who presented to us with symptoms after having an implant crown cemented recently at another office.

Ready to Refer a Patient?
We offer complimentary consultations and will refer patients back to you for maintenance after treatment is complete.





